Como otimizar sua moldagens
Publicado em 23 de Dezembro de 2022
Sobre o autor
Professora e Doutora Maria Paula Borghi, é especialista em DTM E Dores Orofaciais, Especialista em Odontologia Estética e Criadora dos perfis @dicasparadentistas e @dicasdadentista
Introdução
Após 25 anos de formada, hoje eu percebo que a Odontologia é feita de detalhes e que seguir o passo a passo adequado em procedimentos clínicos garante menor probabilidade de erro e repetições. Sabemos o quanto é desagradável ter que repetir etapas, receber uma coroa ou um laminado que não se adapta ao dente e o quanto isso custa para nós. Trago aqui para vocês um passo a passo de execução de duas técnicas de moldagem com seus detalhes e dicas. Para realizar trabalhos indiretos necessitamos obter modelos de trabalho precisos e com boa reprodução de detalhes. Para isso, além de um protocolo correto de execução, precisamos escolher adequadamente a técnica de moldagem e os materiais que utilizaremos durante o tratamento. Os silicones de adição apresentam grandes vantagens, pois garantem melhor cópia e estabilidade dimensional, e se apresentam em consistências variadas, podendo serem manipulados mecanicamente ou manualmente. Além das pastas putty, temos as de consistência fluida que se apresentam em cartuchos duplos, onde a mistura é realizada com o auxílio de pontas misturadoras e dispensadores, o que garate que o material será adequadamente misturado para que possamos obter os melhores resultados.
Antes de começarmos, vamos para alguns detalhes que garantem sucesso em todas as moldagens.
DICA 1: MOLDEIRAS
Para evitar distorções em suas moldagens, opte por moldeiras de materiais rígidos, como molderias metálicas. Moldeiras flexíveis podem gerar alterações no molde no momento da sua remoção da boca do paciente e quando vamos vazar o gesso.

DICA 2: ESCOLHA DO TAMANHO DA MOLDEIRA
No momento da escolha, verifique se o tamanho da moldeira está adequado:
- Observe se há espaço suficiente entre os dentes e a moldeira para manter uma boa espessura do material;
- Verifique se todos os dentes estão cobertos pela moldeira.

DICA 3: ADESIVO DE MOLDEIRA
Após a escolha do tamanho correto, aplique um adesivo específico para moldeiras. Assim, você evitará que o material descole da moldeira durante a remoção da boca do paciente:
![]()
DICA 4: AFASTAMENTO GENGIVAL
Em situações clínicas onde os términos dos preparos se encontram subgengivais, é interessante realizar um afastamento dos tecidos usando fio retrator. Uma sugestão que sempre dou aos meus alunos é utilizar um fio retrator mais fino intrasulcular e um mais espesso como segundo fio, que proporcionará um afastamento horizontal. Esse segundo fio é removido antes da moldagem.
PARA FACILITAR A INSERÇÃO DO FIO RETRATOR, AQUI VÃO ALGUMAS DICAS:
- Utilize uma espátula fina
- Inicie pela região proximal
- Faça movimentos com a espátula em posição inclinada 45 graus, sem forçar as fibras do fio retrator
- Para diminuir o risco de sangramento durante a inserção do fio, prescreva o uso de enxaguatório bucal 3 dias antes da consulta de moldagem e reforce as orientações de higiene oral.
Aplicação do primeiro fio retrator dentro do sulco gengival.
Aplicação do segundo fio retrator, permitindo afastamento horizontal da gengivaAplicação do primeiro fio retrator dentro do sulco gengival.
DICA 5: PROTEJA REGIÕES RETENTIVAS E AMEIAS PARA EVITAR RASGAMENTO DO MATERIAL DE MOLDAGEM
Para evitar o rasgamento do material, você pode utilizar cera, barreira gengival ou similar antes da moldagem. Pessoalmente gosto de usar barreira gengival pela maior praticidade para aplicação e remoção após moldagem.
![]()
DICA 6: GARANTA A A MISTURA ADEQUADA DOS MATERIAIS DE MOLDAGEM
Para a mistura do material de consistência pesada, ou putty, podemos utilizar equipamentos especiais ou realizar mistura manual das pastas base e catalisadora. Neste último caso, é importante utilizar os medidores que acompanham os materiais de moldagem para garantir mistura adequada. Para manipular as pastas, utilize luvas nitrílicas ou manipule sem luvas após lavagem apropriada das mãos. Não utilize luvas de látex, pois as mesmas interferem na polimerização do material.
Medidores e respectivas porções de pastas de material de moldagem de consistência pesada, ou putty.
No caso de materiais de moldagem em cartuchos duplos, evite a mistura manual com espátula em placa de vidro, pois pode levar a maior desperdício de material e menor homogeneidade da mistura. Além disso, evite o uso de pontas misturadoras que não são originais, ou seja, que não possuem o logotipo MIXPAC gravado na base colorida. Utilize sempre pontas misturadoras originais MIXPAC.
![]()
MOLDAGEM SIMULTÂNEA:
Na técnica simultânea preparamos as duas consistências do material de moldagem e ambas devem polimerizar ao mesmo tempo. Se a polimerização não ocorrer ao mesmo tempo, pode ocorrer um descolamento dos materiais e seu protético vai te falar que a moldagem “repuxou”. Para evitarmos esse incoveniente, a sincronia é importante.
A auxiliar deve manipular a consistência pesada e o dentista deve realizat a aplicação da consistência light ou similar ao redor dos preparos retirando o segundo fio no mesmo momento. Quando o dentista já estiver com a pasta fluida aplicada, a auxiliar deve lhe entregar o material pesado já acomodado na moldeira.
DICAS:
- O resultado desta técnica é mais favorável quando realizada a 4 mãos (dentista + auxiliar)
- Escolha esta técnica em moldagens de poucos elementos.
Vamos iniciar montando o cartucho do material de moldagem no dispensador. Com o anel colorido na horizontal (imagem X), pressione a aleta na parte de trás do dispensador com o dedo polegar e puxe o êmbolo posteriormente até ouvir o clique. Gire o anel 90 graus, insira o cartucho e gire novamente para a posição horizontal.
![]()
Ajuste o êmbolo do dispensador até tocar o cartucho, remova a tampa do cartucho e nivele as pastas.
![]()
Feito isso, estamos prontos para a inserção da ponta misturadora. Neste caso, como vamos realizar uma moldagem de precisão, utilizaremos a T-MixerTM ColibriTM Plus Breakable da Mixpac. Posicione a ponta misturadora e gire 90 graus.
![]()
Nesse momento, a sincronia é importante para que as duas consistências polimerizem juntas evitando o famoso “repuxou” que os protéticos nos relatam. Se o número de preparos for grande, a técnica de dois passos é mais indicada. Quando a auxiliar estiver finalizando a manipulação do material pesado, o dentista remove o segundo fio retrator e inicia a aplicação do material leve ao redor dos preparos e das regiões de interesse. Neste momento queremos uma cópia fiel dos detalhes e por isso escolhi a Colibri Plus Breakable é um diferencial. A sua cânula metálica integrada de extremidade arredondada pode ser curvada e seu diâmetro delicado permite a inserção do material no sulco gengival sem injúria aos tecidos.
![]()
A ponta misturadora Breakable é perfeita, pois após a aplicação ao redor dos preparos, posso acionar a zona de ruptura presente no seu comprimento, permitindo a remoção rápida da porção anterior e a aplicação de maiores volumes de material fluido na moldeira. Após este passo, a moldeira é levada em posição
Na imagem abaixo, é fácil perceber a importância da cânula metálica da Colibri Plus Breakable. Podemos notar a cor característica da pasta fluida na região de sulco gengival, nosso maior desafio! Além disso, também podemos observar que as duas consistências de material estão apropriadamente unidas, o que indica polimerização simultanea.
![]()
TÉCNICA DE 2 PASSOS
Nesta técnica, também chamada de técnica de duas etapas, o dentista pode realizar a moldagem sem a ajuda de uma auxiliar, pois como o próprio nome diz, realizase primeiro a moldagem com a consistência pesada e após a confecção de alívios no molde, aplica-se a consistência light ou fluida, levando a moldeira em posição novamente. As chances de erro diminuem com essa técnica.
DICAS:
- Pode ser realizada sem auxiliar;
- Menos chances de erros;
- Indicada para poucos ou múltiplos preparos.
Vamos iniciar acoplando o cartucho ao dispensador e nivelando as pastas, como vimos na técnica anterior:

![]()
Aqui decidi utilizar uma outra ponta misturadora exclusiva da Mixpac, a TMixerTM, que permite a economia de até 40% de material. Diferentemente das pontas misturadoras convencionais helicoidais que 22 E-BOOKLET MIXPAC conhecemos e que geralmente vêm dentro dos kits de materiais de moldagem, a T-Mixer apresenta um desenho interno diferenciado em forma de T, o queproporciona melhor mistura entre as pastas, ou seja, maior homegeneidade.
Ponta misturadora T-Mixer acoplada ao cartucho.
Manipulação da consistência pesada usando luvas nitrílicas e acomodação do material na moldeira.
Primeira etapa da moldagem, levando o material pesado em posição.
Após polimerização e remoção da moldeira, ajustamos a moldeira para a segunda etapa do procedimento de moldagem.
Com um estilete convencional, removemos os de excessos de material na borda da moldeira e na região de palato:
![]()
Com auxílio de instrumental chamado Putcut removemos as interproximais e regiões de términos, criando canaletas para escoamento do material mais fluido:


Neste momento, realizamos uma nova prova da moldeira em boca e marcamos a linha média do paciente na moldeira para melhor inserção durante a segunda etapa da moldagem. Feito isso, aplicamos o material leve na moldeira com a ponta misturadora T-Mixer:
![]()
Na boca do paciente, removemos o segundo fio retrator e aplicamos o material fluido ao redor dos preparos com o auxílio da ponta aplicadora intraoral amarela, também da Mixpac. Neste momento, é importante destacar que a adaptação perfeita entre a ponta misturadora e a ponta intraoral é essencial para a segurança do paciente.
Remoção do segundo fio afastador e aplicação do material ao redor dos preparos.
Levamos a moldeira carregada com material leve em posição e pressionamos até a polimerização do material:
![]()
Neste caso, naturalmente visualizaremos mais material leve do que pesado ao final da moldagem, conforme podemos ver abaixo:
![]()
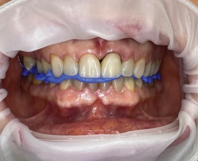
ÚLTIMA DICA:
O registro de mordida acompanha o protocolo de moldagem para realização de trabalhos indiretos, pois garante a reprodução da oclusão do paciente, o que guiará o protético durante a confecção das peças reabilitadoras. Este procedimento deve ser realizado com materiais que apresentam boa estabilidade dimensional para evitar distorções e consequentemente, retrabalho e/ou maior tempo de ajuste das peças. Alguns dentistas ainda utilizam cêra para este procedimento, mas pessoalmente prefiro silicones de adição que possuem esta finalidade. A cêra pode distorcer durante o transporte, especialmente em dias mais quentes, prejudicando o trabalho do protético. Os silicones de adição para registro se apresentam em cartuchos duplos, como os silicones de moldagem. Para sua aplicação, você deve usar uma ponta misturadora específica para essa finalidade. Neste caso, usei a T-Mixer da Mixpac, e para ainda mais economia de material e maior precisão, utilizei a ponta acessória BRT, que proporciona a aplicação do material em forma de fita, cobrindo toda a superfície oclusal.

